Dehydratace je nedostatek tekutin v těle. Ohrožuje především děti a staré lidi.

Hydrocefalus vzniká nahromaděním mozkomíšního moku uvnitř mozku, který nemůže být vstřebáván. Hydrocefalus může být vrozený nebo vzniká následkem poranění hlavy, krvácení do mozku, infekce nebo mozkového nádoru. Dítě s vrozeným hydrocefalem se obvykle narodí s hlavou normální velikosti, která se však hromaděním mozkomíšního moku rychle zvětšuje. Neléčený hydrocefalus může být příčinou poškození mozku, křečí nebo opožděného vývoje a může mít i smrtelné následky.
Hydrocefalus je nadměrná tvorba mozkomíšního moku, který je normálně obsažen uvnitř mozku dítěte. Tkáně pokrývající komory (dutiny) mozku produkují tekutinu, která obklopuje mozek a míchu. Tekutina je běžně vstřebávána tenkými blanami zvanými meningy, které mozek pokrývají. Jestliže se však tvoří mozkomíšního moku příliš mnoho nebo nemůže být vstřebáván, začne se hromadit a vzniká hydrocefalus.
Hydrocefalus může být vrozený, nebo může vzniknout následkem poranění hlavy, krvácení do mozku, infekce v mozku nebo mozkového nádoru. Příčinou může být také deformace mozku způsobená nemocí jako je např. spina bifida (zadní rozštěp obratle).
Dítě s vrozeným hydrocefalem se obvykle narodí s hlavou normální velikosti nebo zvětšenou. Vlivem hromadění tekutiny hlava po narození rychle roste. Dítě bývá rozmrzelé nebo naopak apatické, nemá chuť k jídlu, zvrací a nemůže vzhlédnout. Lebeční kosti jsou oddělené a měkká místa bývají zvětšená. Neléčený hydrocefalus může být příčinou poškození mozku, křečí nebo opožděného vývoje, může mít i smrtelné následky.
Vznikne-li hydrocefalus později v dětství, vyvolává tlak v mozku, neboť, lebka dítěte už je příliš pevná a nemůže se dál zvětšovat. Dítě začne zvracet, má bolesti hlavy, objeví se u něj špatná koordinace, mentální poškození a problémy s řečí. Jestliže se neléčí, zvyšující se tlak může mít za následek smrt.
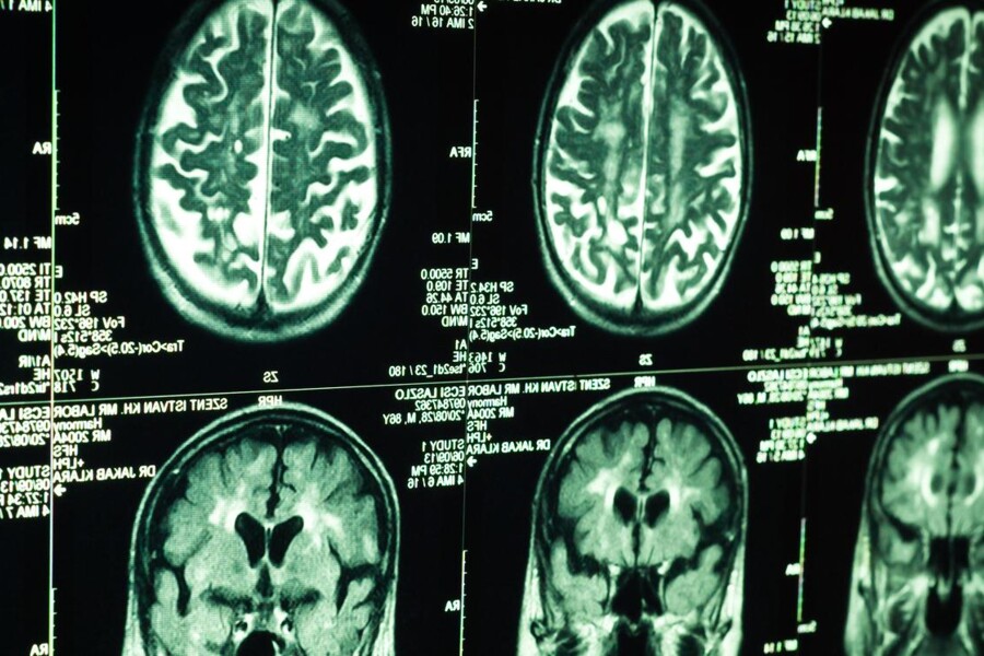
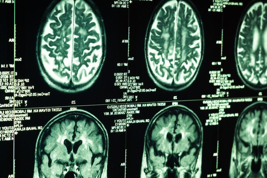
Během pravidelných prohlídek lékař měří dítěti obvod hlavy a porovnává ho tabulkami udávajícími normální hodnoty pro příslušný věk dítěte. Abnormálně velká hlava nebo rychle se zvětšující hlava upozorní lékaře na možnost hydrocefalu. Lékař vyšetří dítěti hlavu počítačovou tomografií, magnetickou resonancí nebo ultrazvukem a na základě výsledků vyšetření stanoví diagnózu a určí příčinu.
Léčba hydrocefalu spočívá v chirurgickém zavedení malé plastové hadičky do komor mozku, kterou se dítěti odvádí nadbytečná tekutina z mozku do břicha. V některých případech je třeba léčit pouze primární příčinu hydrocefalu nebo stačí předepsat vhodné medikamenty. K odstranění nadbytečné tekutiny často stačí série lumbálních punkcí, kdy se do meningů (blan, které obklopují mozek a míchu) poblíž bederní páteře zavede jehla, kterou se tekutina odvádí. Někdy je nutné chirurgické odstranění překážky v komorách mozku.
