Dehydratace je nedostatek tekutin v těle. Ohrožuje především děti a staré lidi.

Hodgkinova nemoc je druh rakoviny lymfatické tkáně, který postihuje především mladé lidi do 30 let. U Hodgkinovy nemoci rozeznáváme různá stadia. První stadium je počáteční fází onemocnění, kdy je postižena jen jedna skupina uzlin. Druhé stadium představuje pokročilejší onemocnění, kdy jsou postiženy dvě blízké skupiny uzlin. Ve stadiu třetím a čtvrtém jde již o těžší postižení, kdy jsou zvětšeny mízní uzliny povšechně.
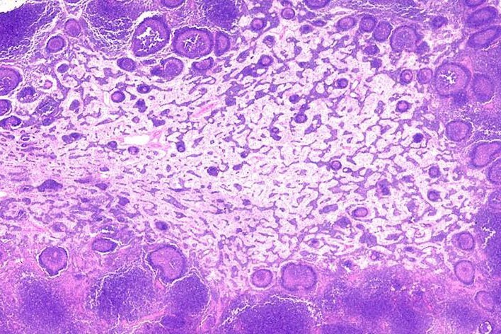
Hodgkinova nemoc je druh zhoubného bujení mízních uzlin. Mízní (lymfatické) uzliny jsou součástí imunitního systému, který chrání organismus proti infekcím. I když se toto onemocnění může objevit v jakémkoliv věku, nejčastější je u mladších osob, mezi 15 a 30 lety. U starších lidí se často vyvíjí omezená forma onemocnění. Hodgkinovou nemocí onemocní během svého života asi dva lidé z tisíce.
Hodgkinova nemoc napadá lymfatickou tkáň, která se skládá z lymfatických buněk neboli lymfocytů. Lymfocyty nacházíme v periferní krvi a v kostní dřeni. Shlukují se jednak v lymfatických uzlinách na krku, v podpaží, tříslech, hrudníku a v břiše, jednak v játrech a ve slezině. Při Hodgkinově nemoci se lymfocyty množí a lymfatické uzliny se zvětšují. Nejdříve se zvětšují uzliny jedné skupiny uzlin, například na krku nebo v tříslu, a potom se onemocnění pozvolna šíří do dalších skupin, až nakonec postihne celý lymfatický systém.
Příčina Hodgkinovy nemoci není dosud známá, ačkoliv se jednu dobu myslelo, že na vzniku onemocnění se může podílet virus. Nemoc postihuje všechny věkové skupiny, muži jsou postiženi dvakrát více než ženy, avšak ve věku nad 65 let je počet mužů i žen vyrovnaný. Příčina tohoto výskytu také není jasná.
Obvykle je prvním příznakem zvětšení jedné skupiny lymfatických uzlin. Někdy pacient prodělá nachlazení nebo jiné lehké onemocnění a poté zjistí, že uzliny, zvětšené během této nemoci se po jejím odeznění již nezmenšily na původní velikost. Nejčastěji se zvětší uzliny na přední straně krku nebo v podpaží, někdy i uzliny tříselné.
Asi u jedné čtvrtiny nemocných provázejí zvětšení uzlin celkové příznaky. Patří k nim horečky, zejména noční, a pocení, ztráta tělesné hmotnosti a výrazná únavnost.
Neobvykle zvětšené lymfatické uzliny se velmi často vyskytují při imunitní odpovědi na místní infekce, obvykle snadno lékařem zjistitelné. Jsou to kožní záněty, furunkly apod. Pokud zvětšené uzliny přetrvávají déle než 3 týdny bez jakékoliv zjevné příčiny, je namístě podrobnější vyšetření. Příčinu zvětšených uzlin může odhalit vyšetření krve, avšak má-li nemocný Hodgkinovu nemoc, mohou být krevní výsledky zcela normální.
Nejspolehlivější metodou, jak zjistit přesně příčinu zvětšení uzlin, je biopsie. Chirurg vyjme v místním nebo i v celkovém znecitlivění celou zvětšenou uzlinu, kterou patolog mikroskopicky vyšetří. Hodgkinovu nemoc se tak podaří spolehlivě rozpoznat.
Po stanovení diagnózy tohoto onemocnění jsou nezbytná další vyšetření, aby se zjistil rozsah a závažnost nemoci. Jsou to vyšetření velmi důležitá, neboť právě na jejich výsledku závisí způsob léčby.
Nejdříve je pacient vyšetřen lékařem, který prohlédne všechna místa, kde by se zvětšené uzliny mohly nacházet: krk a šíji, podpažní jamky, břicho a třísla, okolí kolenních a loketních kloubů. Potom se provede rentgen plic, aby se zjistila případná přítomnost zvětšených uzlin v hrudní dutině. Obvykle se provádí také vyšetření výpočetním tomografem (CT). Jde o speciální typ rentgenového vyšetření, který umožňuje získat detailní obraz měkkých tkání uvnitř těla.
K dalším vyšetřením patří lymfografie. Při něm se používá kontrastní látka, která se vstříkne pod kůži v určité oblasti, z níž vedou mízní cévy po skupiny uzlin, jež chceme vyšetřit. Lymfatickými cévami se kontrastní látka do těchto uzlin odvede a uzliny se poté snímkují rentgenovým přístrojem. Toto vyšetření se dnes provádí již málo, nahradilo je mnohem účinnější vyšetření CT a magnetická rezonance.
Konečně je možné provést břišní operaci, při které se otevře břišní dutina a zjistí se přítomnost zvětšených uzlin. Pečlivě se prohlédnou všechna místa, kde by se uzliny mohly vyskytnout, a najdou-li se, odebere se vzorek na mikroskopické vyšetření. Rovněž se odebere vzorek jaterní tkáně a odstraní se slezina. Rovněž tento postup byl zatlačen do pozadí kvalitními zobrazovacími metodami - CT a magnetickou rezonancí.
Zvolený způsob léčby Hodgkinovy nemoci závisí na výsledcích uvedených vyšetření, na rozsahu nemoci a do jisté míry i na věku a celkovém stavu pacienta.
U Hodgkinovy nemoci rozeznáváme různá stadia. První stadium je počáteční fází onemocnění, kdy je postižena jen jedna skupina uzlin. Druhé stadium představuje pokročilejší onemocnění, kdy jsou postiženy dvě blízké skupiny uzlin. Ve stadiu třetím a čtvrtém jde již o těžší postižení, kdy jsou zvětšeny mízní uzliny povšechně.
Pacienti s počátečními stadii nemoci (stadium I a II) se obvykle léčí rentgenovým ozářením, tzv. radioterapií. Často se ozařuje jen postižená část těla - krk, podpaží, břicho nebo třísla -, záleží na umístění zvětšených uzlin. Léčba probíhá denně po dobu několika týdnů. Mohou se při ní objevit vedlejší účinky, jako je zarudnutí kůže v ozářené oblasti nebo žaludeční nevolnost, ale po přerušení léčby tyto příznaky odeznívají. Účelem radioterapie je zničit abnormální buňky, zatímco nepoškozené přežijí.
Pacienti ve stadiu III a IV se obvykle léčí kombinacemi cytostatických léků. Tyto léky zabíjejí ty buňky, které se dělí neobvykle rychle. Jsou to i nádorové buňky při Hodgkinově nemoci. Většinou se podává čtyřkombinace léků, aby se dosáhlo maximálního možného účinku. Vedlejší účinky léčby jsou časté a nepříjemné. Patří k nim nevolnost a zvracení, někdy i dočasná ztráta vlasů. Léčba se provádí v několika kůrách, každá z nich trvá několik dnů a intervaly mezi nimi jsou několikatýdenní.
Před čtyřiceti lety umírala většina lidí s Hodgkinovou nemocí do dvou let po stanovení diagnózy. Dnes pokročila její léčba natolik, že je to jedno z nejlépe léčitelných nádorových onemocnění. U většiny pacientů se podaří chorobu vyléčit a dlouhodobé přežívání je pravidlem.
