Dehydratace je nedostatek tekutin v těle. Ohrožuje především děti a staré lidi.

Zánět středního ucha je časté onemocnění, zejména u dětí do 5 let věku. Zánět středního ucha často navazuje na infekci horních cest dýchacích.
Akutní epiglottitida je onemocnění, které se vyskytuje u dětí a je život ohrožující. Jedná se o zánět epiglottis - nebo- li příklopky hrtanové, která otéká a ucpává dýchací cesty. Nejčastěji je epiglottitida způsobována bakterií Haemophilus influenzae, proti které se dnes již pravidelně očkuje a toto onemocnění tedy naštěstí není již tak časté, jak tomu bylo dřív.
Hltan je část těla, které obvykle říkáme krk - oblast spojující ústa s polykacími cestami, která často bolí při nachlazení nebo tonzilitidě. Hltan tvoří a ohraničují svaly, tvarem připomíná obrácený kužel směřující špičkou dolů směrem k jícnu, na který se připojuje a jenž vede dál do žaludku. Nejčastějším onemocněním hltanu je zánět, který vnímáme jako bolest v krku. Jak se nemoci hltanu léčí a mnoho dalšího najdete v tomto článku.
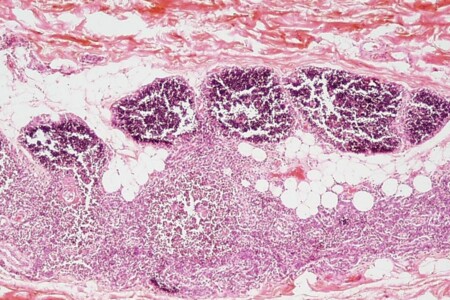
Brzlík neboli thymus je žláza, která obsahuje základní jednotky imunitního systému, lymfocyty. Je jisté, že brzlík se v prvních letech života podílí na vytvoření způsobu, jakým bude imunitní systém pracovat. Brzlík je součástí rozsáhlého imunitního sytému a jeho poruchy se mohou projevit prostřednictvím různých defektů imunity a někdy vést i k závažným nemocím.
Nepříjemné pocity v krku jistě zná každý z nás. Nejčastěji jde o pocity škrábání, bolesti a pálení, které jsou vyvolány drážděním nervů v sliznici hrdla. To může být způsobeno zánětem v krku vyvolaným infekcí, kouřením nebo jícnovým refluxem. Především pro jícnový reflux, při kterém dochází k návratu kyselých šťáv ze žaludku zpět do jícnu, je pálení v krku typické. Pokud trpíte pálením a bolestmi v krku, vyhledejte raději lékaře, který dokáže určit hlavní příčinu vašich obtíží a stanovit vhodnou léčbu.
Většina z nás si jistě zažila, jaké to je mít nateklé mandle, ať už v krku či v nose. Nateklé mandle jsou nepříjemný a mnohdy bolestivý problém signalizující infekční onemocnění, který nás zavede k lékaři. Avšak nateklé mandle mohou být příznakem i daleko vážnějších onemocnění, jako např. nádorů...
Čepy na mandlích jsou drobné bělavé nebo nažloutlé hrudky vytvářející se na krčních mandlích. Čepy na mandlích vznikají nejčastěji v důsledku infekce, při které se na mandlích nahromadí hlen a poruší se jejich samočistící schopnost. Důležité je proto vzniku čepů předcházet např. používáním antibakteriálních ústních vod a dodržováním pečlivé ústní hygieny.
Chrapot je nepříjemný příznak, který by vzhledem k některým svým příčinám neměl být nikdy podceňován. Na vzniku chrapotu se může podílet zánět hrtanu či přetížení hlasivek, mnohem závažnější příčinou - zejména u dlouhodobého neustupujícího chrapotu - je nádorové postižení hrtanu....
Bolesti krční páteře - civilizační choroba 21. století - zná tařka každý. Bolesti krční páteře bývají spojeny jednak s nezdravým životním stylem - tedy sedavým zaměstnáním a nedostatkem pohybu, a dále s tzv. ústřelem, tedy prudkým pohybem hlavy, po kterém následuje ztuhnutí svalů na krku...
Bolest krční páteře je vlastně civilizační onemocnění moderní doby. Bolest krční páteře je totiž dána zejména naším životním stylem - nedostatkem pohybu, sedavým zaměstnáním, špatným držením hlavy a těla. Bolest krční páteře, která neustupuje, by měla být vždy řešena s fyzioterapeutem...
Škrábání v krku je častý nepříjemný příznak, který zná úplně každý. Nejčastěji je škrábání v krku způsobeno bakteriálními nebo virovými záněty dýchacích cest. Stáje častěji je škrábání v krku připisováno také alergiím, a rozhodně nesmíme zapomenout na vliv nevhodného prostředí, například přetopených místností...
Bolení v krku - jeden z vůbec nejčastějších nepříjemných příznaků - zná každý z nás. Nejčastější příčinou bolesti v krku jsou samozřejmě záněty, zejména angína, a dále virové záněty dýchacích cest. Za bolestí v krku však může být poranění hltanu jídlem či jeho poleptání, někdy ale také bohužel nádory...
Bolest krku je opravdu častý problém velké části naší populace. Většina bolestí krku jde na vrub tzv. "problémů s páteří" a také svalové ztuhlosti. Obě tyto příčiny bolesti krku jsou způsobeny hlavně nezdravým životním stylem a nedostatkem pohybu. Jiný problém představuje náhle vzniklá bolest krku spojená se ztuhnutím šíje, které mohou být příznakem meningitidy. Tyto potíže by měly znamenat bezodkladnou návštěvu lékaře...
Vlhký kašel - neboli produktivní kašel - je takový, při kterém vykašláváme větší množství hlenu, jež se ve zvýšené míře tvoří v poškozených dýchacích cestách. Vlhký kašel vzniká při nemocech jako jsou záněty průdušek, otoky plic, zápal plic, ale také při nádorech. Dlouhotrvající vlhký kašel by neměl být nikdy podceňován...
Dráždivý suchý kašel je obtěžující příznak, který bývá vyvolán dráždivými podněty jako prach, změna teploty či kouř. Dráždivý suchý kašel však může být způsoben i nemocemi - záněty dýchacích cest, astmatem, a v některých případech i užíváním léků na vysoký krevní tlak - tzv. ACE inhibitorů...
Suchý kašel je neproduktivní dráždivý kašel, který svým nositelům citelně znepříjemňuje život. Suchý kašel vzniká nejčastěji na podkladě přítomnosti dráždivých látek - prachu a různých alergenů. Zajímavé je, že suchý kašel může být způsoben i užíváním jedněch velmi používaných léků na krevní tlak...
Kašel je prastarý obraný reflex, jehož úkolem je udržet naše dýchací cesty čisté a průchodné. Kašel se však dokáže proměnit v opravdu nepříjemného společníka, zejména je li intenzivní či trvá li dlouho. O běžných příčinách kašle víme všichni. Ale věděli jste například, že kašel může být způsoben například některými hojně užívanými léky...?
Kašel u dětí je velmi častý problém - každé dítě má jednou za čas rýmu a kašel. Akutní kašel - trvající do tří týdnů - je tedy velmi častý a většinou se nad ním není třeba výrazně pozastavovat. Nebezpečný je chronický kašel, který může ukazovat na závažnější onemocnění...

















